Introduction:Bungee jumping is an exhilarating adventure sport that subjects the body—particularly the spine—to rapid, high‑magnitude forces, abrupt deceleration, and repeated rebounds. While serious injury is uncommon when operators follow safety...
Our Great Achievement
World-Class Faculty
Neurosurgery Students
Access Comprehensive Neurosurgery
Neurosurgery is a specialized branch of medicine focused on the diagnosis and surgical treatment of conditions affecting the brain, spine, spinal cord, and peripheral nerves.
Though primarily surgical, this field demands a strong foundation in neurology, trauma care, critical care, and radiology. Explore structured lectures, case studies, research papers, and clinical videos to build your expertise in this challenging discipline.
More Than 10k+ People Trust Us
Latest Updates
- All Posts
Introduction Maintaining spine health is crucial for overall well-being and quality of life. Preventive physiotherapy plays a vital role in preventing spine-related issues and promoting resilience against injuries. This article...
Keeping a headache diary is an effective way to track headaches, identify triggers, and share important information with your healthcare provider. Here’s how to create and maintain your diary: ...
Shoulder bags are a popular accessory for carrying personal items due to their convenience and style. However, their regular use has been associated with musculoskeletal discomfort, particularly back pain. Understanding...
Hard Collar Use and Care Guide Understanding Your Hard Collar A hard collar is a medical device used to support and stabilize your neck and cervical spine. It is often...
Introduction Motorcycling is a popular activity enjoyed worldwide, serving both as a mode of transportation and a recreational pursuit. While the thrill of riding offers numerous benefits, it also poses...

Background Spinal dural arteriovenous fistulas (sDAVFs) are one of the treatable causes of myelopathy, resulting from venous hypertension, cord edema, and resultant ischemia. Steroids might induce abrupt neurological deterioration, presumably...

Abstract A case of acute necrotising pancreatitis, was admitted in our tertiary care centre with complaints of abdominal pain in the epigastric region for 2 days. Pain was associated with...

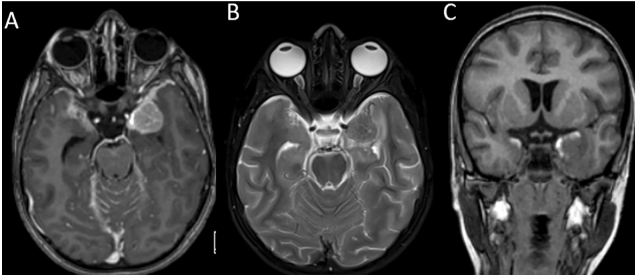
Abstract Primary diffuse meningeal melanomatosis (PDLM) represents a rare and aggressive form of primary central nervous system (CNS) melanoma, with only 32 cases reported in the literature [1]. Given its...